apakah tanda tanda awal apendiks


Antara fungsi apendiks adalah dalam sistem imun atau ketahanan badan. Ketahuilah Tanda dan Gejala Appendicitis.


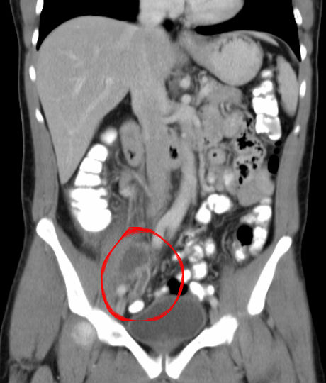
Apendektomi Fungsi Dan Prosedur Idn Medis

Anak akan menjadi lebih mudah marah atau lebih mudah menangis dari biasanya tanpa alasan yang jelas.

. Punca apendiks pada kanak-kanak 10 tahun. Antara tanda-tanda sakit apendiks yang mungkin berlaku tanpa anda sedar seperti. Jika kulit Anda mulai terasa kering dan dipenuhi dengan serpihan yang mengelupas itu artinya Anda perlu melakukan eksfoliasi segera mungkin.

Walaupun fungsi struktur organ ini tidak begitu dikenalpasti tetapi ini tidak bermaksud organ tersebut tidak akan mendatangkan masalah. Ia berfungsi dalam perkembangan sel limfosit. Nyeri - kawitan nyebar banjur dilokalisasi.

Tisu-tisu yang terlibat di dalam sistem imun tisu limfoid sejak lahir dan semakin bertambah sehingga mencapai kemuncaknya pada umur 20-an dan 30-an. Mereka yang mempunyai sakit apendiks tidak boleh merawat ia dengan ubat-ubatan biasa di farmasi sebaliknya ia memerlukan rawatan penuh di hospital. Ini biasanya merupakan tanda pertama.

Asma merupakan sebuah kondisi penyakit saluran pernapasan yang termasuk kronis dan berjangka panjang. Sama seperti penyakit lainnya seseorang yang terkena diabetes akan menunjukkan tanda-tanda awal diabetes. Mana-mana ia adalah mustahil untuk melibatkan diri dalam diagnosis diri kerana gejala apendiks di kalangan.

Gunakan apendiks untuk menyertakan dokumen pendukung yang bersifat visual seperti grafik diagram gambar peta lukisan atau foto. Masukkan grafik diagram atau gambar pendukung. Karena lokasinya apendisitis mengakibatkan rasa sakit di perut kanan bawah.

Kemudian jumlah tisu tersebut berkurang dan hilang apabila mencecah umur 60-an. Terima kasih atas soalan anda. Keradangan apendiks pada kanak-kanak pergi lebih keras dan diagnosis lebih sukar.

Hanya masukkan gambar yang relevan dengan temuan penelitian yang Anda tuliskan. Ada beberapa gejala apendisitis klasik yang muncul meliputi. Tanda-tandha utama penyakit iki beda kanggo pria lan wanita uga kanggo kategori umur sing beda.

Penyakit yang katanya adalah raja dari segala penyakit karena mampu menyebabkan komplikasi pada badan mulai dari ujung kepala sampai ujung kaki mulai dari yang ringan sampai yang berat semisal amputasi. Melansir dari laman Healthline bayi biasanya membuat kontak mata dengan orang lain sejak usianya sangat muda. Rawatan umum untuk sakit appendix adalah pembedahan.

Ia bukanlah sejenis penyakit tetapi satu keadaan di mana pundi apendiks vermiform appendix tersumbat dan bengkak. Dirangkum dari berbagai sumber berikut adalah beberapa tanda autisme pada anak yang mudah Bunda kenali. Halosuster - Apendiks adalah organ tambahan kecil yang menyerupai jari melekat pada sekum tepat dibawah katup ileosekal.

Foto dan tanda-tanda akan. Apendisitis radang Apendiks merupakan satu keadaan di mana apendiks itu akan membengkak dan dipenuhi nanah. Di samping itu doktor anda akan menyarankan prosedur-prosedur berikut.

Dadi contone tandha-tandha pisanan appendicitis ing wanita ngandhut ora beda karo gejala penyakit sing ditemtokake kanthi sehat ngleksanani latihan olahraga atletik wong. Paparan zat kimia udara yang sangat dingin asap rokok infeksi virus aktivitas fisik. Bagi kebanyakan orang penyakit ini berlaku dengan cara yang sama tetapi sering keradangan ini boleh menyerupai penyakit lain.

Pada usia 2 bulan bayi biasanya dapat menemukan wajah dan melakukan kontak mata dengan terampil. Nyeri dekat pusar atau perut bagian atas yang menjadi semakin tajam ketika bergerak ke perut kanan bawah. Dalam istilah perubatan kesakitan ini dikenali sebagai radang apendiks appendicitis.

Apa itu sakit apendiks. Pastikan Anda mengutip dengan benar informasi yang Anda dapatkan dari sumber lain. Anda harus membawa anak ke klinik yang terdekat untuk menentukan diagnosis yang tepat untuk mendapatkan rawatan yang secukupnya.

Tanda-tanda mengenai penyakit Apendiks telah pun diterangkan tadi. Ia dihubungkan dengan usus besar di mana najis terbentuk. Mayoritas 95 pasien karo apendiks duwe gejala ing ngisor iki.

Apendiks adalah kantong berbentuk jari yang menonjol dari usus besar di sisi kanan bawah perut. The Faces Banyak apendiks. Karena apendiks mengosongkan diri dengan tidak efisien dan lumennya kecil maka apendiks mudah mengalami obstruksi dan rentan.

Kanak-kanak sehingga tiga tahun penyakit ini jarang berlaku tetapi pada zaman ini kanak-kanak tidak boleh jelas mengenal pasti lokasi kesakitan yang serius. Sebelum mendapat menstruasi pertama kali mungkin anak perempuan akan merasa tanda-tanda yakni menjadi lebih tegang dan emosional. Kenali tanda-tanda sakit apendiks yang mungkin berlaku tanpa anda sedar.

Tanda-tanda apendiks pada kanak-kanak adalah berbeza dari gejala apendiks di kalangan orang dewasa. Pada saat ini anak perempuan harus memakai pembalut untuk membantu menampung darah yang keluar. Pemeriksaan Tanda obturator Pasien ditidurkan dengan polisi terlentang kemudian angkat kaki kanan dengan tungkai dan paha membentuk 90 derajat kemudian dorong lutut kanan ke arah perut jika seseorang merasa nyeri pada perut bagian bawah maka dapat disimpulkan bahwa ia mengalami peradangan pada daerah apendiks.

Kulit menjadi kering dan mengelupas. Apendiks merupakan satu organ seakan kantung yang terkeluar dari kolon di bahagian bawah dan kanan abdomen anda. Apendisitis atau dikenal juga sebagai penyakit usus buntu adalah kondisi peradangan pada usus buntu atau apendiks.

Ultrasound abdomen atau imbasan CT untuk melihat apakah apendiks meradang. Apakah rawatan Apendiks yang diberikan oleh pihak doktor. Penyebab Gejala Komplikasi dan Pengobatan.

Sakit pada abdomen diikuti bengkak pada bahagian bawah kanan perut. Tanda-tanda awal apendisitis akut bisa kerep diganggu. Tanda-tanda dan gejala apendiks biasanya dinyatakan gejala sakit sangat kuat.

14 Tanda-tanda Asma Awal. Qeiya hola hola punca dan tanda awal sakit apendiks. Nanging babagan setengah saka pasien tanda khas apendiks bisa niru penyakit akut liyane ing.

Apendiks terletak pada hujung usus besar dan kecil. Tanda yang anak anda alami kemungkinannya menunjukkan sakit appendix Appendicitis atau komplikasinya iaitu appendix pecah. Perkembangan lan dalane bisa uga kena pengaruh faktor fisik.

Apabila pesakit tersebut telah disahkan mendapat sakit Apendiks segala antibiotik untuk menahan sakit tidak berguna lagi. Sekiranya seseorang itu merasakan bahawa dirinya mempunyai tanda-tanda tersebut jangan cepat. 23 hours agoJika 4 tanda-tanda yang dilansir dari Insider dan Mayvenn ini ada pada kulit Anda itu artinya kulit Anda membutuhkan eksfoliasi.

Walaupun belum begitu jelas apa yang menjadi penyebab asma ada sejumlah faktor yang bakal dengan mudah memicu asma untuk timbul. Apendiks adalah kantung kecil dan nipis yang mempunyai kepanjangan sekitar 5 hingga 10 cm.


Simak Ini 11 Gejala Penyakit Usus Buntu Gaya Tempo Co


Waspada Kenali Gejala Usus Buntu Yang Meradang Whitecoathunter


Rsud Ciawi


Apa Fungsi Appendix Atau Usus Buntu Quora


Apa Yang Dimaksud Dengan Apendisitis Akut Ilmu Kedokteran Dictio Community


Apa Itu Operasi Usus Buntu Jenis Perawatan Pasca Operasi Halaman All Kompas Com


Gejala Usus Buntu Yang Mudah Dikenali Ketahui Cara Mencegahnya Merdeka Com


Apendisitis Akut Gejala Penyebab Dan Mengobati


Tanda Sakit Apendiks Ini Bezanya Dengan Masalah Sakit Perut Biasa


10 Gejala Usus Buntu Yang Perlu Anda Ketahui


Usus Buntu Pada Anak Anak Ini Gejala Dan Penanganannya


Jangan Jangan Bukan Nyeri Perut Biasa Yuk Kenali Radang Usus Buntu Lebih Dalam Rumah Sakit Permata


Sering Kentut Waspada Radang Usus Buntu Lifestyle Bisnis Com


Apendiks Tribunnewswiki Com Mobile


Apa Yang Dimaksud Dengan Apendisitis Akut Ilmu Kedokteran Dictio Community


7 Gejala Usus Buntu Tak Hanya Sakit Perut Sebelah Kanan Halaman All Kompas Com


Abses Apendiks Patofisiologi Diagnosis Penatalaksanaan Alomedika


Apendiks Tribunnewswiki Com Mobile


13 Mitos Dan Fakta Tentang Usus Buntu

Related : apakah tanda tanda awal apendiks.